设为主页
加入收藏
在校生
教职工
校内网
信息公开
校长信箱
学校简介
学校章程
学校领导班子
学科建设
名人名师
学校标识
校园风光
管理机构
党委办公室
校长办公室
党委组织部(统战部、机关党委)
党委宣传部
派驻机构
学生处
保卫处(武装部)
发展规划处
人事处(党委教师工作部、人才工作办公室)
教务部
教务处
教学发展中心
财务处
国有资产与实验室管理部
科研院
国际交流与合作处
医院管理处
审计处
基建处
总务处
党委离退休工作部(离退休工作办公室)
顺德校区管理委员会
群团组织
工会
团委
校友办公室
教学机构
基础医学院
中医药学院
生物医学工程学院
药学院
公共卫生学院
护理学院
检验与生物技术学院
卫生管理学院
马克思主义学院
外国语学院
法医学院
通识教育部
研究生院(党委研究生工作部)
继续教育学院
国际教育学院
第一临床医学院
第二临床医学院
第三临床医学院
深圳临床医学院
口腔医学院
康复医学院
麻醉学院
教辅机构
就业指导中心
网络中心
档案馆
学报编辑部
图书馆
实验动物管理中心
中心实验室
招标采购中心
其它
资产经营公司
卫生健康管理研究院
本科教育
研究生教育
继续教育
留学生教育
本科生招生
研究生招生
留学生招生
国际项目招生
学生就业
科研动态
科研机构
科研成果
学术期刊
English
查看更多
“问题链教学模式”课题入选国家社科基金思政课研究专项
把乡村振兴的故事讲给全世界听——国际志愿服务案例入选广东典型案例
“百千万工程”口腔实践:口腔医院帮扶高州建成粤西首家舒适化治疗中心
头条新闻 HEADLINES
新年进步!南医大获3项省优秀教学成果特等奖!
【港澳台学子】第二临床医学院程昱霖:医海扬帆处 青春正当时
【学子体悟】口腔医学院王昭睿:1288小时志愿时长点亮医者之路
11年献血79次,南医大90后男护士又捐造血干细胞
响应国家战略需求:第八届基础医学年会解码“十五五”研究范式
来源:基础医学院
靶向“炎症源头”,为膝骨关节炎精准治疗提供新思路
来源:珠江医院
抑郁与焦虑共病的新机制获揭示
36名韩国师生三天“沉浸式”体验南医
1月12日的南医校园,花瓣轻旋飘舞,36名来自韩国江原道LRS共享事业团的师生踏着晨光而来。为期三天的中韩医学交流会拉开帷幕,他们在护理学院、南方医院、皮肤病医院开展了多层次、全方位交流和对话。12日举行的欢迎仪式上,国际交流与合作处处长彭鸿娟系统介绍了学校办学历史、学科特色、科研实力与国际交流成果。韩国代表团团长姜炫权简要介绍了江原大学、京东大学等LRS事业团旗下院校。学术对话环节亮点纷呈。我校卫生管理学...
师生齐上阵!一场培训会吹响公卫人创新创业号角
1月15日,公共卫生学院举办创新创业竞赛专题培训会,学校创新创业学院院长张清宇应邀作专题授课。这是公共卫生学院推进创新创业教育、搭建师生成长平台的重要举措,也是2026年学院创新创业工作的启动会。培训会聚焦赛事政策解读与备赛实践指导,议程紧凑、内容务实。张清宇系统解读了学校最新出台的竞赛奖励管理办法,从赛事组织架构、奖励政策设计到具体实施路径,逐层剖析政策红利。重点围绕学生创新学分认定、综合素质测评加...
我校翻译硕士点全票通过2025年专项评估
近日,国务院学位委员会办公室公布2025年学位授权点专项合格评估结果,我校翻译硕士专业学位授权点以全票通过评估。这一成果标志着我校翻译硕士培养质量与办学水平获得教育主管部门及全国翻译专业学位研究生教育指导委员会专家的高度认可。本次专项合格评估依据《国务院学位委员会教育部关于开展2025年学位授权点专项合格评估工作的通知》(学位〔2025〕16号)要求,由国务院学位委员会办公室委托全国翻译专业学位研究生教育指....
“双百行动”进行时: 为青少年心理健康“筑巢”
近日,我校公共卫生学院党委书记申玉杰、党委副书记王亚惠带队前往仁化县,与仁化县副县长叶剑斌共同为县锦城学校心理辅导室揭牌。随着红绸落下,这间充满童趣的“心灵港湾”正式启航,将为孩子们撑起一片晴空。“双百行动”驻仁化县服务队成员孙俊川及县教育局有关负责人、学院心理健康教育与咨询中心、病原生物学系等相关教师代表全程参与此次活动。在师生们的掌声中,申玉杰、叶剑斌等为心理辅导室揭牌。这间温馨的教室,未....
外语人才“练兵场”上线!实习基地签约开启新实践
1月8日,外国语学院与佛山市顺德区容桂高黎外国语学校正式签署共建实习基地合作协议,并同步启动寒假社会实践项目。此举标志着外国语学院在顺德校区整建制办学后,在强化实践育人、服务区域发展方面迈出关键步伐。签约仪式上,外国语学院党委副书记马佳、副院长王中强,高黎外国语学校校长欧阳效斌及双方师生代表共同出席。欧阳效斌校长详细介绍了该校“坚守并吸纳,全面而卓异”的办学理念,重点阐释了“3-4-5双成育人体系”的...
16年深耕,教育之根在中葡沃土中融合生长
1月8日,葡萄牙里斯本大学学院校长玛利亚·罗德里格斯一行来校访问,副校长刘叔文、副校长王冬,国际交流与合作处、卫生管理学院等单位相关人员出席了两校深化合作会议暨中葡公共卫生政策与管理博士学位项目联合管理委员会会议。刘叔文在致辞中回顾了两校长期以来的紧密合作历程。他指出,双方在多个领域取得了显著成果:中葡博士学位项目获得教育部批准延期十年,培养模式创新荣获2025年广东省研究生教学成果奖二等奖,并两度斩...
10
January
学术会议
第八届南方医科大学基础医学学术年会
08:00
校本部枫林堂枫叶厅
惠利健、王韵、毕国强、许琪等
8
学术报告
智能计算拉曼一光谱与体成像
10:00
生命科学楼5楼973会议室
陈雪利
19
December
学术论坛
蛋白质降解新通路与肿瘤治疗
15:00
校本部秋水堂月色厅
李磊
粤港专职医疗人才交流:从“放射影像”到健康未来
1月12日,粤港专职医疗人才交流项目欢迎仪式在珠江医院举行。南方医科大学副校长许可慰,广东省卫生健康委员会交流合作处副处长郭胜男,珠江医院院长郭洪波等单位相关负责人,以及香港医院管理局派出的40名专职医疗人员共同出席活动,共话粤港医疗合作新未来。粤港专职医疗人才交流项目自2023年启动以来,已成功开展三次专职医疗人员来粤交流活动,成为深化两地医疗合作的重要桥梁。本次交流项目由南方医科大学独立承办,南方医...
卡在血管网深处的肿瘤!看医生这样操控机器人实施“毫米级”剥离
“肿瘤”两字本来就让人闻之色变,如果它还卡在身体最重要的动静脉深处,紧贴着周围密布的重要血管、神经、器官组织,这可如何是好?近日,南方医科大学第三附属医院泌尿外科团队操控新一代手术机器人,通过一个隐藏于肚脐的3厘米小孔,成功完成了一场精准的微创手术,既完整切除了肿瘤,又保护了所有重要功能。这是该院泌尿肾病医学中心成立后成功拿下的一场“漂亮仗”。据悉,为了更好地服务前列腺癌根治、腹膜后肿瘤切除、复...
来源:第三附属医院
“微生态+代谢重构”破解终身服药困局
“不用终身吃药,血糖也能稳定控制,还能成功减重!”1月14日,第五附属医院(以下简称“南医五院”)肥胖与2型糖尿病逆转门诊正式开诊,以“微生态+代谢重构”为核心的创新诊疗模式,打破了“糖尿病需终身用药”的传统认知,从疾病源头为广大糖胖病患者带来健康新希望。据了解,我国成人超重或肥胖占比已达50.7%,糖尿病患者数量位居世界第二,肥胖与2型糖尿病合并发病(即“糖胖病”)的情况日益普遍,且呈现“减重难、控糖难...
来源:第五附属医院
联合概念验证中心启动开源鸿蒙智护病房
1月8日,深圳医院与深圳大学正式签署战略合作协议,共建“联合概念验证中心”,中心首个概念验证合作项目《开源鸿蒙智护病房建设新范式探索项目》也同步启动。此次合作,是双方在深圳市大力推进科技成果转化与医疗产业高质量发展的背景下,作出的一项具有重要战略意义的举措。2025年6月,由深圳医院牵头建设的深圳市医疗器械临床概念验证中心与深圳大学牵头建设的深圳市医工融合概念验证中心,双双获得深圳市科技创新局批复认定...
来源:深圳医院
中西医融合诊区破解运动损伤难题
近日,珠江医院“康复医学中心——中西医运动损伤与疼痛”诊区启用。新诊区聚焦脊柱侧弯、肌骨疼痛、运动损伤及产后康复等重点领域,打造“评估—治疗—训练—追踪”全周期智慧康复路径,让康复服务更可及、更连续。响应健康需求,应对慢性疼痛挑战当前,全民健身理念深入人心,运动人群持续扩大,但运动损伤与慢性疼痛问题日益凸显。据《中国疼痛医学发展报告(2020)》数据显示,我国慢性疼痛患者超过3亿人,且正以每年1000万...
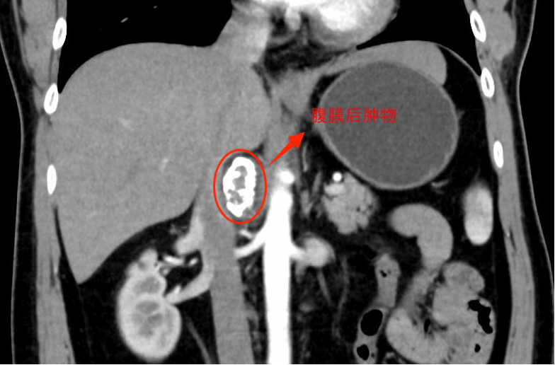
以为只是腰痛,结果腹中藏着20厘米肿瘤!
腹痛腰酸持续半年,40岁的广西刘女士(化名)一直以为是劳累所致。直到症状加剧,在当地医院检查后,结果令人震惊:她的腹腔深处,埋藏着一个直径约20厘米的巨大肿瘤。因肿瘤位置特殊、与重要血管神经纠缠紧密,手术风险极高,求生之路一度陷入僵局。几经辗转,刘女士一家来到广州,求助于南方医科大学第三附属医院(南医三院)。接诊的骨肿瘤科李浩淼主任团队经过详细检查发现,这个位于腹膜后的巨大肿瘤,向上延伸到肝肾间隙...
学校是广东省首批5所省属高水平大学重点建设高校中唯一的医学院校,全国首批“部委省”共建医科高校,全国首批开设八年制临床医学专业(本博连读)的8所高校之一,全国首批卓越医生、卓越医生(中医)教育培养计划试点高校。
251-300
4
75
15
23
11
429
30
13
12
61
82
48
南医通识
南医科普
南医招生
点击进入
南医校史
历史沿革
上海抗美援朝医疗队与南医大
校史馆
师生风采
【见习录】第二临床医学院梁家瑶:在神经的经纬间接受多维诊疗的启蒙
媒体南医
【光明日报】踢空气竟诱发马尾综合征?南医三院助肌力回归
【新快报】默念着偶像五月天的歌 南方医院男护士捐献造血干细胞,点亮患者生命之光
首届“前海医学大讲堂”暨公立医院高质量发展大会开幕
南医校园
南医视觉
校园撷采
广州校区地址:广州市白云区沙太南路 1023-1063号
顺德校区地址:佛山市顺德区容桂街道马岗大道 33号
网络报修
学校邮箱
公众号
微博
版权所有 © 南方医科大学 粤ICP备05084331号