近日,在南方医院神经外科学术带头人漆松涛教授和主任张喜安指导下,功能神经外科亚专科龙浩教授团队联合影像中心主任文戈、教授秦耿耿医技护团队,为一位难治性癫痫患者实施了磁共振引导激光消融手术。这是该技术首次在华南地区正式临床应用于癫痫治疗,标志着南方医院在外科治疗难治性癫痫和颅内病灶微创消融技术领域的一大突破。
男子患癫痫六年
医生团队为其制定治疗新方案
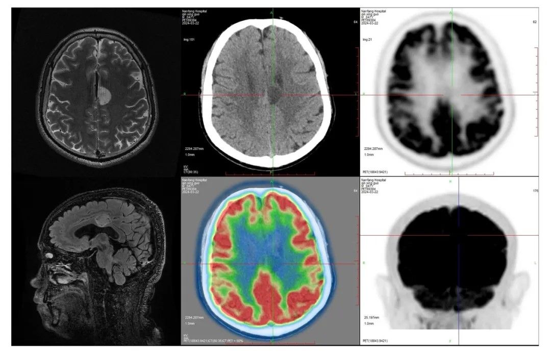
47岁的李先生(化名)六年前确诊为癫痫,长期使用多种抗癫痫药物治疗效果不佳。近日,他来到南方医院神经外科龙浩教授门诊就诊,经医院“癫痫MDT”会诊评估,左侧中扣带回的类圆形异常信号影,高度怀疑为致痫灶。

患者术前检查提示左侧中扣带回类圆形癫痫灶
病灶位于大脑深部,邻近重要功能区,传统的显微手术切除有相当高的风险,如脑功能区和皮层静脉损伤可能会导致术后偏瘫和脑肿胀等严重并发症。相比之下,激光消融手术有望实现既消融病灶又不损伤周边结构的目标。
经与患者沟通治疗方案后,神经外科、影像中心和医学工程科开展了多次术前协调会,并进行了模拟治疗测试,以确保手术流程各环节顺利。
无需开颅
微创治疗癫痫灶
4月9日,龙浩教授带领王兴勤博士、张沛东博士先为患者实施了全麻下机器人辅助激光光纤植入术,手术30分钟顺利完成。

龙浩教授团队为患者行机器人辅助激光光纤植入术
麻醉清醒后,李先生被转运至磁共振室,先扫描确认激光光纤植入位置,随后在MRI实时颅内温度监控下,顺利完成了癫痫灶的激光消融治疗,治疗时长仅5分钟。

龙浩教授在磁共振室调试激光消融治疗系统
术后即时复查可见消融范围与目标靶区完全吻合,周边结构无损伤,床旁拔除光纤即结束全部治疗,头皮仅有一处针眼大小创口。整个治疗过程李先生清醒配合,无疼痛或其他不适。术后一般情况良好,无并发症,观察数日后现已顺利出院。

磁共振热图实时监测激光消融范围(左),术后即时复查显示癫痫灶的原位精准消融(右)
该技术的临床应用
有望为难治性癫痫提供新方案
2023年,我国自主研发的磁共振引导激光消融治疗系统获批上市,这是一种新型微创手术技术,通过手术机器人将激光光纤精准植入到脑内病灶区域,随后在磁共振全程实时监控下,利用激光光纤产生的热能精确消融目标靶区,而对周围正常结构达到最大程度的保护。
据龙浩教授介绍,与传统手术相比,磁共振引导激光消融手术更加微创、精准,手术时间短,患者术后反应轻、恢复快,能有效缩短住院日,同时确保了安全性和有效性,可使患者明显获益。
该技术应用前景广泛,在癫痫外科、脑肿瘤、放射性坏死等多个领域都展现出巨大的潜力。期待这一新技术能为更多患者带来创伤更小、恢复更快的治疗方案,为人民群众的健康保驾护航。