医疗

学校首页 > 正文

南方医院心内科首开两台二尖瓣关闭不全复杂病例的导管微创介入治疗

时间:2021-07-22 14:38:57  来源:南方医院   编辑:黄瑶  作者:陈国军、邱世锋  点击:

7月15日,南方医院心内科结构性心脏病介入团队在修建成教授带领下,应用DragonFlyTM经导管二尖瓣瓣膜夹系统,对2例二尖瓣关闭不全患者成功实施微创介入治疗。两例分别为89岁和75岁的器质性二尖瓣关闭不全患者,均属于外科手术的高危适应症,且病变复杂,微创操作难度大。经6个多小时奋战,两例病人成功完成手术。术后患者气促明显好转,心脏杂音消失,安全返回病房。在广东省内完成的4例手术中,两例由南方医院团队完成。

考虑患者高龄、瓣膜病变严重、合并高血压等高危因素,且患者拒绝风险较高的外科开胸心脏手术,经多学科团队讨论,认为进行经股静脉路径进行二尖瓣钳夹术可避免开胸及体外循环,具有安全性高、创伤小、恢复快、并发症少等优点。

在浙大二院王建安教授、刘先宝教授的指导下,修建成团队携手我院麻醉科、心外科等科室如期开展手术。手术在患者全麻状态下进行,经股静脉入路,穿刺房间隔后在经食道超声和X射线引导下将瓣膜夹器械输送到左心室。与单纯A2区脱垂相比,这两例病人的手术难度明显高出很多。第一例患者由于返流机制复杂,手术团队认为单纯夹合脱垂瓣叶远期效果可能不佳,经反复模拟夹闭,最后选择特殊型号器械捕捉和钳夹二尖瓣前叶和后叶并关闭瓣膜夹。术后二尖瓣瓣口由单孔变成双孔,经食道超声反复确认手术效果后,最终释放二尖瓣瓣膜夹。第二例患者为A1区脱垂,由于A1区存在大量腱索和乳头肌,操作风险和难度明显高于A2区脱垂,需要术者对心脏解剖结构了然于胸,在狭小空间内准确定位瓣膜夹的位置和角度,为了达到最佳的效果,手术团队先后三次模拟操作到位进行夹闭,终于在术者的精细调整下,瓣膜夹到达最佳位置,调整至完美的角度,同时没有累及腱索和瓣叶,准确捕捉瓣叶后成功将A1区脱垂部位夹闭,即刻二尖瓣反流程度显著下降由术前的4+即刻下降到1+,左房内压力显著下降。两例复杂经导管二尖瓣修复手术顺利完成,术后患者即刻清醒,气促明显好转,心脏杂音消失。二位患者精神状态良好,24小时内下地活动,将不日出院。

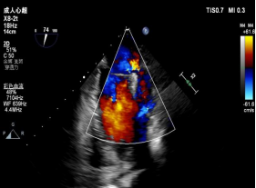
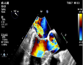
▲术前与术后彩超结果

二尖瓣关闭不全的成人发病率5%。对于严重脱垂、大量反流者,传统的治疗方法是手术修复或者置换二尖瓣。经导管缘对缘修复术是近年来新兴的精尖技术,具有创伤更小、安全性更高等特点,尤其适合高龄、合并症多和外科手术禁忌的瓣膜反流患者。

心血管内科多年来一直紧盯各项心血管介入的创新技术。在2018年开展了经导管主动脉瓣置换术(TAVR),较快拓展手术例数,技术迅速成熟的情况下,此次又在国内较早开展经导管二尖瓣缘对缘修复术。修建成带领的冠心病和结构性心脏病介入团队,冠脉介入技术全面、精湛,TAVR手术技术突飞猛进,将为更多的心血管病患者提供“手到病除”的治疗。

广州校区地址:广州市白云区沙太南路1023-1063号

顺德校区地址:佛山市顺德区容桂街道马岗大道33号

粤ICP备05084331号  南方医科大学版权所有