医疗
-

获授“ERAS标准病房”认证,为康复外科发展装上“加速器”
近日,经国际肝胆胰协会中国分会ERAS专业委员会与陈孝平基金会联合评审与实地考察,第三附属医院肝胆外科凭借在加速康复外科领域的显著实践和规范化管理,在百家医院脱颖而出,成功通过认证,被正式授予“ERAS标准病房”称号。ERAS(加速康复外科)是一系列基于循证医学的围手术期优化措施,旨在减轻患者手术应激、减少并发症、缩短住院时间,并提升康复质量与就医体验。 此次评审涵盖…
-

“产研医”合力创新,助力国内首款基孔肯雅病毒核酸检测试剂盒上市
近日,第八附属医院承接的达安基因公司研制的基孔肯雅病毒核酸检测试剂盒(荧光PCR法)临床试验项目收官。该产品成为国内首款获批上市的基孔肯雅病毒核酸检测产品。在基孔肯雅热疫情防控关键期,第八附属医院GCP机构办迅速响应,联合伦理委员会、检验科等团队,以“零差错”标准推进临床试验。面对时间紧、任务重、质量要求高的挑战,团队通过优化试验方案、精准筛选受试者、规范样本检…
-

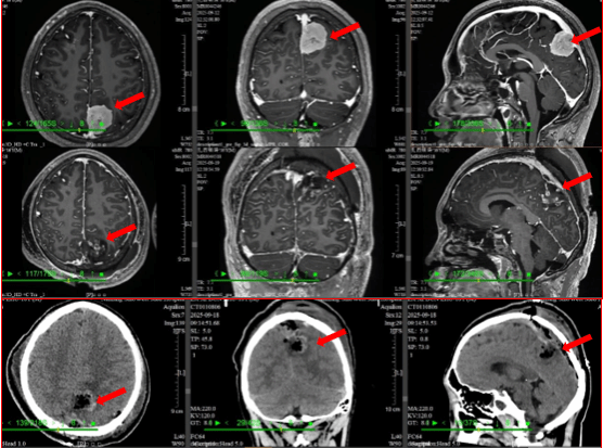
毫米之间的民族团结:粤藏医生共战罕见脑瘤
近日,一位来自西藏林芝的16岁罕见脑膜瘤患者小扎西在中西医结合医院神经外科成功接受了顶叶矢状窦旁脑膜瘤切除手术治疗,康复情况良好。这场跨越三千里的医疗救救治不仅是个案成功,更是粤藏两地医疗协作的典范。援藏一年,以精湛医术赢得信赖2024年,中西医结合医院医生张建锋积极响应号召,前往西藏林芝开展为期一年的医疗支援工作。在海拔三千米的高原上,他克服缺氧等困难,不仅将…
-

“石榴岗13号大院的医疗使命:思政课堂诠释抗战医者仁心
10月10日下午,中西医结合医院党委书记陈旭坚以《弘扬抗战精神,担当新时代医者使命》为题,在学术会议厅为全院研究生、实习生等150余名学生讲授秋季学期“思政第一课”,引导青年医学生从抗战历史中汲取精神力量,锚定新时代医者使命担当。陈旭坚围绕“历史回响与时代召唤”“烽火岁月——抗战中的医者仁心与民族脊梁”“使命在肩——新时代医学生的责任与担当”三个部分展开讲授。他…
-

智慧化质控破解抗菌药物耐药难题
近日,在第一届“遏制微生物耐药监测评价体系建设项目”遴选活动上,第八附属医院药学部的“三维联动·智慧护航——基于四阶质控闭环的抗菌药物精准管理体系构建与实践”案例被收录为“遏制微生物耐药监测评价体系建设项目实践案例”,在广东省入选的8个案例中,这是为数不多以药学为主导的实践案例。“三维联动·智慧护航——基于四阶质控闭环的抗菌药物精准管理体系构建与实践”案例,…





